Skocz do zawartości
Polski Portal Literacki

KORONAWIRUS - RIFE - pomówmy o tym


Rekomendowane odpowiedzi

Opublikowano (edytowane)

Zaloguj się, aby zobaczyć zawartość.

 

Końcowy fragment artykułu ma postać:

 

Same lasery USP są znane od ponad 25 lat, jednak dopiero niedawno udało się je zminiaturyzować na tyle, że można je stosować w praktyce. Tego typu urządzenia będą wkrótce wykorzystywane na polach bitew, być może będą napędzały pojazdy kosmiczne, a badania panów Tsen dają nadzieję, iż będą też leczyły chorych.

 

Jeszcze ten fragment:

 

Przed kilkoma miesiącami Agencja podpisała z firmą Raydiance kontrakt na rozwijanie USP do zastosowań medycznych.

 

Odnalazłem dane o firmie Raydiance:

 

Raydiance Inc. , z siedzibą w 

Zaloguj się, aby zobaczyć zawartość.

 w  , był producentem pierwszego na świecie lasera  (USP) sterowanego programowo.  Firma została założona w 2003 r. Przez Jeffa Bullingtona i Petera Delfyetta w Orlando na Florydzie jako Ablation Industries, Inc. W 2004 r. Ablation Industries zmieniło nazwę firmy na Raydiance, Inc. i zatrudniło  , byłego dyrektora generalnego  ( AOL), jako nowego CEO i Prezesa Zarządu. Raydiance, Inc. skomercjalizowało technologię USP opartą na włóknach, opracowaną po raz pierwszy w laboratoriach College of Optics na University of Central Florida. Wysiłek ten został sfinansowany przez  . 

Raydiance wprowadził swój pierwszy produkt, pikosekundowy laser impulsowy wielkości biurka, w 2007 r. Ultrakrótkie lasery impulsowe, które generują impulsy w zakresie od  do  , są używane w naukach przyrodniczych, mikroobróbce, obrazowaniu i diagnostyce, i sektorach obronnych. Spółka zaprzestała działalności w lipcu 2015 r. Aktywa Raydiance Inc zostały przejęte przez  w sierpniu 2015 r. 

 

Firma ta już dziś nie istnieje. Aktywa jej przejęła firma Coherent Inc.

Aktualna strona internetowa tej firmy Coherent Inc:

 

 

Na tej stronie mamy ofertę laserów USP do zastosowań przemysłowych.

Oferty do zastosowań medycznych - brak.

 

A badania panów Tsen dawały nadzieję, iż będą też leczyły chorych.

 

Widać nie było to im dane!

 

 

Edytowane przez Polman (wyświetl historię edycji)
Opublikowano (edytowane)

A teraz popuszczę wodzę fantazji :-)

Na maxsa!!!

Aż do śmieszności!!! 

 

Gdyby tacy ludzie jak Otto Sankey, Eric Dykeman, Kong-Thon Tsen, Shaw-Wei Tsen czy Abira Chakravorty mieli rację i:

- istniałyby destrukcyjne dla kapsydu wirusa covid-19 częstotliwości rezonansowe w paśmie akustycznym to wtedy…, np. stacje radiowe mogłyby nadawać ogólnie dostępne na odbiornikach radiosłuchaczy audycje terapeutyczne…

- istniałaby destrukcyjne dla kapsydu wirusa covid-19 częstotliwości rezonansowe w paśmie radiowym, np. do 1 MHz, to wtedy grupa ludzi, np. parafia, gmina kupiłaby generator plazmowy za około 25 tyś. zł i na jakiejś sali mogliby robić seanse terapeutyczne dla, np. dla 30 ludzi jednocześnie. Ludzie przychodzą, siadają, włączają generator i siedzą sobie przez np. 90 minut.
I zdrowieją.

 

Teraz mamy tylko strach.

My dotychczas tacy mądrzy i rozważni.

Edytowane przez Polman (wyświetl historię edycji)
  • 2 tygodnie później...
Opublikowano (edytowane)

A to inny przykład natury ludzkiej i "losu Rife'a".

 

Zaloguj się, aby zobaczyć zawartość.

 

A ten fragment pokazuje samo sedno problemu:

 

Polski tester do wykrywania raka piersi miał być rewolucją. "Nie ma nigdzie na świecie urządzenia, które miałoby podobne cechy. Zainteresowanie z Japonii, Chin, krajów Półwyspu Arabskiego czy Anglii jest bardzo duże. Mam nadzieję, że w tym roku uda nam się dokonać przełomu w ekspansji na świat" - tak o Brasterze mówił prezes Marcin Halicki na początku 2018 roku.

 

Przypomnijmy, że polscy naukowcy opracowali unikatowy w skali świata sposób zastosowania ciekłych kryształów w diagnostyce raka piersi. Na bazie tej technologii powstało małe urządzenie - termograficzny tester, który umożliwia samodzielne badanie piersi.

 

Kto jest temu winien?

 

Sam prezes Dariusz Karolak przyznaje, że podstawową przyczyną utraty płynności finansowej była mała sprzedaż, niespełniająca oczekiwań. Wytyka poprzednikom niedoszacowanie kosztów wprowadzenia produktu na rynek, zbyt niski budżet i zbyt duży pośpiech.

Problemem było też małe zainteresowanie urządzeniem ze strony środowiska lekarskiego. Zdalną tomografię krytykowali np. amerykańscy naukowcy.

"Jak zawsze przy wprowadzaniu pionierskich rozwiązań pojawił się czarny PR ze strony potencjalnej konkurencji w obawie o utratę rynku. W przypadku Braster Pro zaistniał opór ze strony branży mammograficznej" - przyznaje prezes.

A turecka firma Invamed, twórcy systemu terapii  TurkishBeam na covida-19 wybrali Amerykanów do przeprowadzenia badań klinicznych.

IDIOCI!!!

Od chwili uruchomienia badań klinicznych przez Amerykanów, słuch o systemie tureckim zaginął.

Turcy przejrzeli chyba na oczy i teraz na stronie ich firmy:

w sekcji PRODUCTS oferują swój system, ale tylko do badań klinicznych , ale teraz już  całemu światu.

Pływamy w wielkim gównie wuja Sama.

 

A świat byłby dla nas bardziej przyjazny i bezpieczny, gdyby tylko człowiek tego chciał.

Gdyby, np. podczas zwykłej wizyty lekarskiej, lekarz mógł wykonać takie badanie w swoim gabinecie:

 

 

Napisałem to kiedyś:

 

Pierwej musimy jednak odwagi w nas szukać,

by spojrzeć w zwierciadło i  w nim śpiesznie poszukać,

twarzy  wroga,  który na  nas  obłudnie patrzy,

i wnet wszystkich tych  lęków i żądz nam dostarczy,

co jad sączą, by zmienić  nam w dłoniach trzymane,

gałązki oliwne w strzał groty w kołczanie.

 

I powiem za wójtem z Chłopów Reymonta:

Ja wójt to wam mówię!

 

 

Edytowane przez Polman (wyświetl historię edycji)
Opublikowano (edytowane)

Chciałem jeszcze przekazać Wam moje końcowe wnioski

Są one takie:

 

MOŻESZ:

- nie wierzyć w biorezonans i jego skuteczność;

- być sceptykiem co do rozbicia kapsydu drganiami;

- możesz mieć przekonanie, że to wszystko o czym piszę to dziwactwo,

ale ja jestem absolutnie pewien jednej zbawiennej funkcji jaka mają te pliki mp3, słuchawki czy głośnik multimedialny umieszczone pod plecami.

 

Użyję tu określenia, które niedawno przyszło mi do głowy:

 

TO JEST TRZEPAK DLA NASZYCH PŁUC!!!

 

Tak, tak to odbieram z moich osobistych doświadczeń jak i obserwacji skutków użycia tej metody przez innych.

Jeśli ktoś ma z Was dzieci, to spotkał się zapewne z zaleceniem lekarza aby oklepywać plecy dzieciaka. Tak bywało w przypadku infekcji, przeziębień , zapalenia oskrzeli czy płuc. Podobne zalecenia lekarze dają dla opiekujących się osobami obłożnie chorymi, aby unikać zapalenia płuc u osoby leżącej.

 

Tutaj sporo cennych informacji o tym zabiegu:

 

Zaloguj się, aby zobaczyć zawartość.

 

Istotny fragment tego artykułu:

Oklepywanie jest  niezwykle ważne obecnie ze względu na COVID-19. Oklepywanie umożliwia korzystanie z całej dostępnej objętości płuc, co więcej przyczynia się do mobilizacji mięśni oddechowych, a także zmniejsza ryzyko wystąpienia zapalenia oskrzeli czy płuc, szczególnie w sytuacji objawów infekcji górnych dróg oddechowych.

 

W NADCHODZĄCYM CZASIE, GDY MOŻE ZABRAKNĄĆ DLA CHORYCH ŁÓŻEK SZPITALNYCH, TLENU CZY RESPIRATORÓW, TEN PROSTY ZABIEG MOŻE MIEĆ OGROMNE ZNACZENIE.

 

Z moich doświadczeń plik3 i plik4 (czas łączny około 40 min.) trzeba "odsłuchać plecami" dwa razy dziennie.

Nawet jak nam nic nie dolega, profilaktycznie. 

 

Przypomnę na koniec linki do tych dwu plików:

1.    Plik4 ma nazwę:

         PLIK4_Abir_Chakravorty

       Stąd można ten plik pobrać lub go odtworzyć:

       

2.     Plik3 ma nazwę:

        PLIK 3

        Stąd można ten plik pobrać lub go odtworzyć:

        

 

Zdrowia!!!

 

 

Edytowane przez Polman (wyświetl historię edycji)
Opublikowano (edytowane)

A teraz pokażę Wam mój eksperyment.

 

Użyłem do eksperymentu:

- plastikowe pudełko w przykrywką;

- głośniczek mobilny, który umieściłem wewnątrz pudelka;

- telefon z plikami: plik3 i plik4;

- na przykrywce wyspałem różne kuchenne drobiazgi: bułkę tartą, kaszę, ziarna, itp..

 

Popatrzmy na efekt:

 

 

I co o tym powiecie?

Można  tak "wytrzepać" nasze płuca?

Edytowane przez Polman (wyświetl historię edycji)
Opublikowano (edytowane)

dr Andrzej Szewczyk

Opis wybranego  przypadku:

 

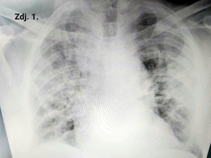
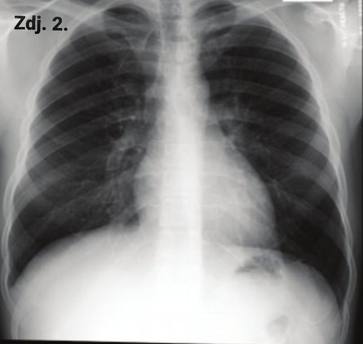
To może przypadek młodego antycovidowca, który trafił do szpitala mniej więcej po tygodniu od wystąpienia objawów. Miał 25 lat, nie był obciążany, żadnymi chorobami, o których by wiedział, co nie znaczy, że nie miał jakichś genetycznych uwarunkowań. Generalnie na pierwszy rzut oka normalny gość. Oczywiście jak to osoba młoda i zbuntowana bagatelizował pierwsze objawy infekcji, rzucał się w wir spotkań towarzyskich, głośno mówiąc, że nie wolno dać się zamknąć „plandemii”. Żył chwilą, ale chwilę potem, kiedy dziwne wrażenie w piersiach zaczęło się nasilać, a dreszczyk emocji wynikający z bycia „rebelem” zniknął, z tyłu głowy pojawiła się u niego obawa. To co najpierw było małym kamyczkiem na klatce piersiowej, stopniowo stawało się wielkim głazem, który leżał na piersiach i nie pozwalał oddychać. Tak działa koronawirus, kradnie nam powietrze, dosłownie kradnie, bo efektywna powierzchnia wymiany gazowej w płucach stopniowo się zmniejsza. Miąższ płuc zalewa mieszanina komórek zapalnych i wysiękającego płynu pozakomórkowego, naszpikowanego szeregiem substancji, tzw. cytokin, które dodatkowo przyprawiają szalejący stan zapalny. Obrazowo można przyrównać płuca do gotującej się zupy. I taki obraz rozhukanego stanu zapalnego obserwujemy na zdjęciach rentgenowskich oraz obrazach tomografii komputerowej, fachowo nazywamy go mleczną szybą. Dla przykładu, na zdj. nr 2 widać obraz prawidłowych płuc. Wszystkie czarne przestrzenie to upowietrzniona, zdrowa tkanka płucna. Promieniowanie X przechodzi przez powietrze bez oporu, nie jest pochłaniane, natomiast każda przeszkoda na jego drodze, czyli te wszystkie komórki zatopione w płynie zapalnym, w pewnym stopniu je pochłaniają, rzucając swoisty cień na obraz zdrowych płuc. Możemy to obserwować jako jasne przebarwienia, które do złudzenia przypominają mleczne, jakby oszronione szkło. Zagranicą stosuje się określenie „frosty glass” i bardzo dobrze widać je na zdjęciu nr 1. Żeby ocenić, ile procent miąższu płucnego jest zajętych zmianami zapalnymi, musimy skorzystać z obrazowania wielopłaszczyznowego, czyli 

Zaloguj się, aby zobaczyć zawartość.

.

 

Zdjęcie nr 1

Zdjęcie nr 2

 

 

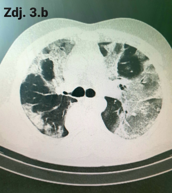
Na zdjęciu nr 3 a i b widzimy przekrój przez klatkę piersiową, uzyskany za pomocą tej metody obrazowania. Zdjęcia pokazują zakres zmian śródmiąższowych, czyli te wszystkie białe jakby rozlane plamy u jednego pacjenta. Oceniamy je na różnych wysokościach płuc, tutaj na zdjęciu 3a na wysokości szczytów płuc (tuż poniżej ramion) i na poziomie serca (zdj. 3b). Procentowa zawartość zdrowego (czarnego) miąższu jest niewielka. Oczywiście w większości przypadków zmiany w toku leczenia zmniejszają się, a obraz płuc ulega uporządkowaniu, ale ten proces wymaga czasu. Ile? Na tą chwilę, nie mamy jeszcze długoterminowych, opartych na dużej liczbie przypadków badań, które pokazałyby, jak długo i w jakim stopniu organizm będzie wracał do pierwotnego stanu i czy w ogóle wróci.

 

Zdjęcie 3a

 

 

Zdjęcie 3b

 

 

Edytowane przez Polman (wyświetl historię edycji)
Opublikowano (edytowane)

  Fizjoterapeuci Oddziału Intensywnej Terapii w Szpitalu Uniwersyteckim w Krakowie należą do zespołu, który leczy i usprawnia najcięższe przypadki pacjentów. Pracujemy na bardzo dużym oddziale, posiadającym do 65 stanowisk intensywnej terapii i dysponującym pełnym zakresem technik stosowanych w leczeniu ciężkich zakażeń układu oddechowego – od wysokoprzepływowej terapii donosowej (HFNC), przez wentylację nieinwazyjną (na masce i hełmie), zaawansowaną wentylację konwencjonalną, aż po ECMO.

 

Najczęściej stosowane techniki

1.     Ćwiczenia przeciwzakrzepowe – wirus SARS-CoV-2 zwiększa ryzyko powikłań zakrzepowo-
       zatorowych, a pacjenci na OIT są głównie leżący – profilaktyka jest obowiązkowa u każdego
       z nich!

2.     Masaż wibracyjny klatki piersiowej – urządzenie do wibracji wprawiające w drgania klatkę
        piersiową ułatwia odrywanie się wydzieliny z płuc i przemieszczanie jej do górnych dróg 
       oddechowych, a ostatecznie jej   ewakuację.

3.   Oklepywanie – ułatwia ewakuację wydzieliny.

4.   Układanie pacjentów na brzuchu – bardzo istotne, według badań naukowych ta pozycja 
      ułatwia regenerację płuc u pacjentów wentylowanych mechanicznie i oddychających 
      spontanicznie. Rolą fizjoterapeuty jest pomoc w układaniu i dbanie o prawidłową pozycję
     w ułożeniu na brzuchu, tak by zapobiec powikłaniom.

5.   Ćwiczenia bierne – zachowanie zakresu i ruchomości w stawach – od samego początku pobytu na OIT.

6.   Ćwiczenia czynno-bierne u pacjentów pod wpływem analgosedacji i przytomnych.

7.   Ćwiczenia czynne – u pacjentów przytomnych.

8    Nauka korzystania z urządzenia Tri-Flow – trening oddychania z oporem wdechowym i wydechowym.

9.   Pionizacja pacjenta.

10. Uruchamianie.

 

Edytowane przez Polman (wyświetl historię edycji)
Opublikowano (edytowane)

Dr Bodnar w leczeniu SARS-COV-2 rekomenduje użycie amantadyny. Jak pisze w swoim oświadczeniu “Obecnie w Polsce wielu lekarzy leczy swoich znajomych, bliskich, a nawet pacjentów według moich schematów – z bardzo dużym powodzeniem. Zarówno w ramach opieki POZ jak i szpitalnej. Są to już setki lekarzy, tysiące pacjentów(…)”. Mimo problemów, z jakimi spotyka się przy leczeniu swoją metodą dr Bodnar nie poddaje się i wzywa do badań nad amantadyną profesorów i naukowców. Bo, jak sam mówi, jesteśmy w sytuacji trudnej i należy za wszelką cenę szukać sposobów na COVID-19.

 

 

To wezwanie do badań dr Włodzimierza Bodnara.

Wezwanie do natychmiastowych badań nad amantadyną

Wzywam wszystkich Profesorów i osoby odpowiedzialne w Polsce za leczenie COVID-19 (w tym Ministerstwo Zdrowia) do przeprowadzenia badania skuteczności amantadyny na poniższych warunkach. Wystarczą zaledwie dwa tygodnie, by wprowadzić leczenie amantadyną w Polsce. Z mojej perspektywy leczenie jest skuteczne, tanie, a lek jest już przebadany i znany od dekad. Zgodnie z zapowiedziami świata nauki w Polsce, gdy tylko pojawią się przesłanki naukowe o skuteczności amantadyny, można przystąpić do dalszych badań. CZAS NEGACJI SIĘ SKOŃCZYŁ

Takie informacje pojawiły się w poprzednim tygodniu w prestiżowym czasopiśmie naukowym Nature, które wskazuje amantadynę, jako lek, który może blokować rozwój wirusa SARS-CoV-2 w organizmie. Jeśli teraz ktoś ośmieliłby się nadal kwestionować cokolwiek w kwestii amantadyny, to znaczyłoby równie dobrze, że kwestionuje istnienie podwójnej helisy DNA, bowiem Watson i Crick właśnie w Nature opublikowali wyniki swoich badań w tym temacie.

Założenia

Jestem otwarty na ustalenie warunków, jakie ma spełniać pacjent (na podstawie testu, bądź na podstawie objawów). Grupa chorych może wynosić 100-200 osób. Jest to dla mnie duże wyzwanie, ale codziennie jestem w stanie osobiście przyjąć 30-40 osób. Nie muszę mieć wpływu, na jakim etapie choroby zgłaszają się pacjenci (tak jak obecnie jest w moim przypadku, gdzie zgłaszają się osoby zarówno w 2 dniu objawów, czy w 12, czy mają choroby współistniejące lub w jakim są wieku). Mogą to być zarówno osoby z całej Polski (jak choćby teraz, które przyjeżdżają do mojej przychodni z Katowic, Krakowa, Tarnowa, Warszawy, Krosna, Rzeszowa itd) czy osoby z okolic Przemyśla (co ułatwiłoby bieżącą diagnostykę na miejscu, jak choćby RTG, które mogę zapewnić). Konsultuję tych pacjentów także w soboty i niedziele.

Wszystko będzie monitorowane przez niezależnych obserwatorów. Za grupę kontrolną może służyć jakakolwiek placówka w Polsce, która przyjmuje w obecny rekomendowany sposób leczenia (teleporady, leczenie objawowe, brak leczenia amantadyną i wysłanie do szpitala, gdy stan zagraża życiu. Generalnie sprowadza się to do leczenia objawowego i gdy pacjent ma wystarczającą odporność, to przeżyje). Może to być to jedna placówka, w której przyjmuje 2-3 lekarzy (ponieważ obawiam się, czy jeden lekarz podejmie się przyjąć tylu pacjentów jednego dnia co ja).

 

 

Warunki

Wszelkie koszty muszą być finansowane ze źródeł rządowych. Jednocześnie sam koszt jest znikomy (lek jest tani, a badania diagnostyczne są nieporównywalnie tańsze od leczenia szpitalnego).

Muszę mieć zapewniony dostęp do leku (chlorowodorek amantadyny) na okres leczenia dla wszystkich chorych.

Komisja Bioetyczna przygotuje wszelkie wnioski w ciągu 2 dni.

Nie można zasłaniać się procedurami i terminami, gdy chodzi o zdrowie i życie ludzi. Nie ma ważniejszej sprawy niż szukanie leku na COVID-19.

Obecni są niezależni obserwatorzy, którzy nadzorują powyższe kryteria badania i leczenia.

Badanie trwa dwa tygodnie.

Chlorowodorek amantadyny jest sprawdzony, jest na przykład podawany w ciężkich urazach i schorzeniach mózgu (o czym mało kto mówi, a straszy się pacjentów wyłącznie skutkami ubocznymi).

Wystarczy mi jeden dzień na stworzenia grupy do badania i leczenia COVID-19

Przy braku reakcji ze strony osób odpowiedzialnych

Takie badania trzeba przeprowadzić natychmiast, by położyć kres bezsensownych zgonów i inwalidztwa w Polsce i na świecie. Jeśli do końca tygodnia nie rozpoczną się badania w wyżej wymienionym modelu oznacza to, że jest przyzwolenie na dalszą śmierć Polaków.

Wyniki i wnioski w tym badaniu będą natychmiastowe. Dadzą wszelkie podstawy do wprowadzenia amantadyny w schematy leczenia COVID-19.

Nie trzeba czekać kilku miesięcy na badania naukowe.

Patrząc na obecne procedury, na przykład Rzecznik Odpowiedzialności Zawodowej ma 3 miesiące na rozpatrzenie sprawy, czy Komisja Bioetyczna, które też ma swoje terminy i procedury. Jeśli badania nie rozpoczną się do końca tego tygodnia – oznacza to, że Państwa znajomi, bliscy, czy rodziny powinny tracić zdrowie i umierać, bo jest to zgodne z prawem i procedurami. “Bo nic nie da się zrobić”.

Z poważaniem, Lekarz Włodzimierz Bodnar, specjalista chorób płuc, pediatra w NZOZ “Optima” w Przemyślu

 

Panie Doktorze!

To forum pokazuje, jaki będzie los Pana terapii.

Przedstawię to na sposób mickiewiczowski:

 

W takiej ciszy - tak ucho natężam ciekawie,

Że słyszałbym szept nawet- Jedźmy, nikt nie woła.

 

 

Edytowane przez Polman (wyświetl historię edycji)
  • 2 tygodnie później...
Opublikowano (edytowane)

Starosłowiański masaż brzucha.

 

Pewnie teraz pomyślisz: - Kolejny odjazd Polmana! ;-)

 

Podaruj mi proszę chwilę i spójrz przez chwilę na to:

 

Zaloguj się, aby zobaczyć zawartość.







 

Obejrzany wykład na temat starosłowiańskiego masażu brzucha był powodem mojego osłupienia (chociaż prelegent raczej słaby, momentami nawet bardzo).

 

Przeniosłem swoją wyobraźnię na wieś pańszczyźnianą, w miejsca i w czasy, kiedy rodziły się zręby wspomnianej sztuki masażu. A realia tamtej rzeczywistości były niesamowite. Zasady wspomnianego masażu tworzyli analfabeci. Większość z nich nie widziała zawartości otwartej jamy brzusznej, chyba, że gdzieś napotkali jakiś wypadek albo ofiarę wojny.

Nie mieli pojęcia o narządach wewnętrznych jamy brzusznej, ich roli, ani wiedzy z anatomii.

 

Nie mając w zasadzie nic w ręku, żadnego aparatu ich wspierającego, przez wieki i pokolenia potrafili tworzyć zasady tego masażu.

Potrafili w jakiś tajemny sposób określić badany problem, opisać jakimś sposobem wyniki swoich doświadczeń, przekazać je innym, w tym samym czasie prowadzącym własne obserwacje, przyjąć od nich ich wypracowane wnioski, metody działania, zapewne też je ocenić. A na koniec przyjąć  jakieś wspólnie wypracowane wnioski.

I co więcej, swoją zgromadzona wiedzę skutecznie przekazać następnym pokoleniom, w sytuacji, kiedy cała wiedza funkcjonowała w przekazie słownym, nic nie było utrwalone w formie pisemnej!

Dla mnie ta świadomość stała się szokująca.

 

Tak sobie myślę o tej sprawie.

I jaki mam wniosek?

 

Myślę, że sukces tych ludzi i ich działań tkwił w czystości i szlachetności intencji i celów tych działań.

Jedyną ich intencją było dobro wspólne.

Byli woli od działań egoistycznych, czy osiągania partykularnych korzyści.

 

Minęły wieki.

Jesteśmy tu i teraz.

Czy coś pozostało z tamtych dawnych wartości?

Od tamtych zamierzchłych czasów, które tu wspomniałem, nastąpiła istotna zmiana. W naszej rzeczywistości pojawił się luksus.

A jak to powiedział trener Jacek Gmoch:

Luksus jest skurwysyństwo”.

 

Dzisiejsi prawnukowie dawnych chłopów pańszczyźnianych nauczali się pisać. Piszą dziś swoje nazwiska. Wielu odczuwa dumę, gdy poprzedzą je formą prof., czasem dr.

To dla lepszego ich samopoczucia i samorealizacji zgłodniałego ego.

To jedna z możliwych form odczuwania luksusu.

 Nie dla wszystkich, zastrzegam. Ale dla wielu.

 

A czy ocalały wartości naszych praojców?

Mam tu na myśli szlachetność intencji i celów ich działań.

Czy najważniejszą intencją działania pozostało dziś dobro wspólne?

Kiedyś napisałem ten króciutki wiersz:

 

Bez odbioru

twoje myśli,

twoje słowa,

twoja wola -

twoje okólniki

ze stemplem

„bez odbioru”

 

Wtedy jeszcze nie wiedziałem, że pisałem o tych z prof.  i dr.

Dziś to już wiem.

I ta prawda jest dla mnie i dla nich druzgocąca.

 

Panie Trenerze Jacku, ma Pan kogoś na ławce rezerwowych?

Bo luksus wygrywa. Strasznie…

 

 

Edytowane przez Polman (wyświetl historię edycji)
Opublikowano (edytowane)

A to jeden z naszych profesorów:

 

Na początku listopada media donosiły, że niektórzy lekarze w Polsce twierdzą, że amantadyna jest pomocna w zmaganiach z COVID-19. Pulmonolog z Przemyśla dr Włodzimierz Bodnar zapewniał wówczas, że ma udokumentowanych ponad 100 przypadków wyleczeń z COVID-19 przy użyciu tego leku.

Stwierdzenie to wywołało jednak wiele kontrowersji w środowisku medycznym. Amantadyna nie została umieszczona w najnowszych, trzecich już rekomendacjach Polskiego Towarzystwa Epidemiologów i Lekarzy Chorób Zakaźnych, dotyczących leczenia COVID-19 (opublikowanych 13 października 2020 r.).

- Nie zrobiliśmy tego, ponieważ nie sądziliśmy, że będzie to potrzebne.
Nie ma bowiem żadnych podstaw merytorycznych ani naukowych do stosowania amantadyny w zakażeniach wywołanych przez koronawirusa SARS-CoV-2 – przekonywał wtedy prezes Towarzystwa prof. Robert Flisiak.

 

Zaloguj się, aby zobaczyć zawartość.

 

A gdym ja go zapytał o badanie skuteczności wibracji w polu elektromagnetycznym?

 

Od takich profesorów

Wybaw nas Panie!

 

Od takich profesorów

Zachowaj nas Panie!

 

My, grzeszni, Ciebie, Boga prosimy
Wysłuchaj nas, Panie
.

 

Amantadyna lekiem na COVID-19? Czy jest skuteczna?

 

 

                                      Robert Flisiak

 

 

Edytowane przez Polman (wyświetl historię edycji)

Jeśli chcesz dodać odpowiedź, zaloguj się lub zarejestruj nowe konto

Jedynie zarejestrowani użytkownicy mogą komentować zawartość tej strony.

Zarejestruj nowe konto

Załóż nowe konto. To bardzo proste!

Zarejestruj się

Zaloguj się

Posiadasz już konto? Zaloguj się poniżej.

Zaloguj się



  • Zarejestruj się. To bardzo proste!

    Dzięki rejestracji zyskasz możliwość komentowania i dodawania własnych utworów.

  • Ostatnio dodane

  • Ostatnie komentarze

    • @skarpetawsosie Ponieważ motyw 'danse macabre' przewija się przez historię literatury od średniowiecza, ciężko jest go unieść tak, aby nie popaść w zbyt głębokie koleiny, które już setki innych twórców wyryli w dziejach poezji. Ale jest u Ciebie ciekawe odwrócenie ról, gdzie to peelka sama zaprasza do tańca śmierć, zafascynowana nimbem, jaki jej towarzyszy. Może to w ogóle oznaczać zderzenie wyobrażeń z rzeczywistością, gdy śmierć wydaje się z początku kuszącą perspektywą lecz w ostatecznym rozrachunku peelka odkrywa jej dramatyzm i rozumie, że ostateczne rozwiązania oznaczają przekreślenie jej szans, marzeń, nadziei, możliwości. Poznanie natury śmierci przeraża, w związku z czym utwór brzmi jak ostrzeżenie przed iluzją, że jest w niej jakiś ukryty urok.   Jednocześnie z punktu widzenia poetyckiego, dużo tu jeszcze jest do przepracowania. Skupiłabym się bardziej na rzeczach konkretnych - na tym, co można zobaczyć, dotknąć, poczuć, usłyszeć. Wszelkie westchnienia, uczucia oddania są tu niepotrzebne.  

      Zaloguj się, aby zobaczyć zawartość.

        Kaganiec raczej można zrzucić, a spuścić się ze smyczy, z łańcucha, z uwięzi, itd. Ta fraza źle brzmi stylistycznie.     To nie pasuje do pozostałych wersów, gdzie przecież chcesz pokazać pierwotną fascynację, więc trzymaj się tego. Pomijając konsekwencję logiczną (a raczej jej brak) - brzmi to ciężko, tak jakby wiersz na siłę chciał czytelnikowi wcisnąć własną treść.     Tu coś nie gra składniowo. Dla mnie fraza nieprzemyślana i źle zbudowana.     Te dwa wersy psują końcówkę, swoją dosłownością. To kolejne fragmenty, gdzie wiersz odbiera odbiorcy możliwość odczucia swoich własnych emocji w odniesieniu do tego, co czyta, a przecież chodzi o to, aby pojawiła się jakaś empatia.   Bardzo dobrym, mocnym  punktem jest za to:     Warto na tym wersie oprzeć puentę; jest w nim potencjał zarówno dla piszącego, żeby coś powiedzieć nie wprost, jak i dla czytelnika, żeby zastanowić się nad głębszym znaczeniem tych słów.
    • Okruszki szeptów porozsypywane przez wiatr tulę w dłoni wirują jak jesienne liście skroplone smakiem milczącej  tęsknoty   za horyzontem zapętlony taniec mew kołysze wspomnienia  wzburzonymi falami i twoje imię wołane przez dogasające w słońcu echo

      Zaloguj się, aby zobaczyć zawartość.

    • @rockthewriter   Zastanawiający wiersz …pełen kontrastów…   podoba mi się i …nie podoba ;)  tak naprawdę bardzo mi się podoba :) 
    • @bazyl_prost sam też nie znoszę pasów szczekających na wiatr. Ale przecież taka ich natura. Chcą nas chronić.@KOBIETA mnie też.
    • @Omagamoga Mam problem z tym utworem, bo nie wiem do końca, co to jest. Brzmi, jak modlitewna inkantacja. New Age? Zanim się odniosę, proszę o jakąś wskazówkę, bo nie chcę komentować czegoś, na czym do końca się nie znam.
  • Najczęściej komentowane

×
×
  • Dodaj nową pozycję...